Plate4:妙高岳中央火口丘の斜方輝石カンラン石玄武岩
| Sample No. | 斑晶 | 石基 | モード組成(vol%) | 石基密度(g/cm3) |
| 95072603 | カンラン石,斜方輝石,斜長石 | 斜斜長石,ピジョン輝石,普通輝石,磁鉄鉱 | カンラン石=7.4,斜方輝石=0.6,斜長石=37.5,石基=54.5 | 3.049 |
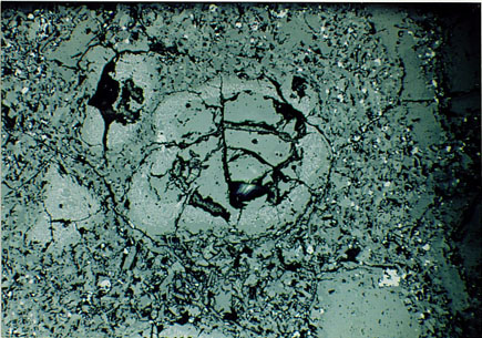
妙高岳中央火口丘の斜方輝石カンラン石玄武岩の薄片写真(クロスニコル, 倍率270倍)
解説
妙高岳中央火口丘の玄武岩はカンラン石,斜方輝石,斜長石を斑晶として含み,カンラン石の周囲が上の写真のように例外なく細粒な磁鉄鉱と斜方輝石から成る反応縁により被われているという点が特徴です.このようなカンラン石斑晶の特徴は旧岩手第3期活動の鬼又溶岩のカンラン石玄武岩の一部でも観察されます.
斜方輝石斑晶は多くの場合コアがカンラン石であり,それらが反応関係にあったことを示しています.斜長石斑晶に汚濁帯などは少なく,クリアな場合が多いです.
妙高岳中央火口丘の玄武岩はカンラン石と斜長石の斑晶に富むため,玄武岩=黒色という常識とは異なり,肉眼的に岩石は灰白色に見えます.<br><br>
全岩化学組成は岩手火山のすべての火山岩の中でSiO2量が最も乏しいという特徴があります.
この捕獲岩の化学組成(wt%)
| SiO2 | TiO2 | Al2O3 | FeOt | MnO | MgO | CaO | Na2O | K2O | P2O5 | Total | |
| 全岩化学組成 | 49,85 | 0.74 | 19.07 | 89.47 | 0.16 | 6.23 | 10.69 | 2.19 | 0.14 | 0.09 | 98.64 |
| 石基化学組成 | 51.40 | 0.97 | 16.22 | 11.40 | 0.20 | 6.64 | 9.37 | 2.57 | 0.16 | 0.09 | 99.02 |
鉱物化学組成化学組成(代表的な値, wt%)
| SiO2 | TiO2 | Al2O3 | FeOt | MnO | MgO | CaO | Na2O | K2O | Total | |
| カンラン石斑晶(コア) | 38.07 | 0.01 | 0.03 | 25.43 | 0.39 | 36.20 | 0.15 | 0.02 | - | 100.44 |
| 斜方輝石斑晶(コア) | 53.47 | 0.12 | 1.87 | 14.33 | 0.27 | 26.18 | 1.65 | 0.03 | 0.01 | 98.03 |
| 斜長石斑晶(コア) | 44.91 | - | 34.91 | 0.46 | - | 0.03 | 18.96 | 0.71 | - | 99.97 |